Wenn der Zahnschmelz bröselt - Kreidezähne bei Kindern
24 Minuten
Podcast
Podcaster
Beschreibung
vor 4 Monaten
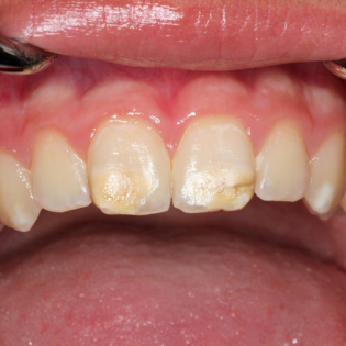
Verfärbt, schmerzempfindlich, bröckelig. Jedes siebte Kind hat
einen "Kreidezahn". Solche Zähne kommen bereits mit Defekt am
Zahnschmelz aus dem Kiefer. Was kann man tun? IQ-Reporterin Eva
Deinert fragt in dieser Podcast Folge nach - auch für ihre eigene
Tochter. Wir freuen uns über Post von Euch: WhatsApp
(https://wa.me/491746744240) oder iq@br.de Credits:
Autorin/Sprecherin: Eva Deinert Redaktion: Katharina Hübel Technik:
Leon Schiefer, m-sound https://m-sound.de/ Unsere
GesprächspartnerInnen: Prof. Dr. Katrin Bekes, Leiterin
Kinderzahnheilkunde, Universitätszahnklinik Wien
https://www.unizahnklinik-wien.at/fachbereiche-spezialambulanzen/kinderzahnheilkunde/
Präsidentin der Deutschen Gesellschaft für Kinderzahnmedizin
https://www.dgkiz.de/news.html Nina Baumgartner, Zahnärztin,
Zahnplanet, München https://www.zahnplanet.de/team/ Zum
Weiterlesen: Die 6. Deutsche Mundgesundheitsstudie
http://www.deutsche-mundgesundheitsstudie.de/ Zum Weiterhören: So
sicher ist der "kleine Piks". Über die Zulassung und die Kontrolle
von Impfstoffen
https://www.ardaudiothek.de/episode/urn:ard:episode:33485297c22f29ba/
Falls Euch der IQ-Podcast gefällt, freuen wir uns über eine gute
Bewertung, einen freundlichen Kommentar und ein Abo. Und wenn Ihr
unseren Podcast unterstützen wollt, empfehlt uns gerne weiter! IQ
verpasst? Hier könnt ihr die letzten Folgen hören:
https://www.ardaudiothek.de/sendung/iq-wissenschaft-und-forschung/5941402
einen "Kreidezahn". Solche Zähne kommen bereits mit Defekt am
Zahnschmelz aus dem Kiefer. Was kann man tun? IQ-Reporterin Eva
Deinert fragt in dieser Podcast Folge nach - auch für ihre eigene
Tochter. Wir freuen uns über Post von Euch: WhatsApp
(https://wa.me/491746744240) oder iq@br.de Credits:
Autorin/Sprecherin: Eva Deinert Redaktion: Katharina Hübel Technik:
Leon Schiefer, m-sound https://m-sound.de/ Unsere
GesprächspartnerInnen: Prof. Dr. Katrin Bekes, Leiterin
Kinderzahnheilkunde, Universitätszahnklinik Wien
https://www.unizahnklinik-wien.at/fachbereiche-spezialambulanzen/kinderzahnheilkunde/
Präsidentin der Deutschen Gesellschaft für Kinderzahnmedizin
https://www.dgkiz.de/news.html Nina Baumgartner, Zahnärztin,
Zahnplanet, München https://www.zahnplanet.de/team/ Zum
Weiterlesen: Die 6. Deutsche Mundgesundheitsstudie
http://www.deutsche-mundgesundheitsstudie.de/ Zum Weiterhören: So
sicher ist der "kleine Piks". Über die Zulassung und die Kontrolle
von Impfstoffen
https://www.ardaudiothek.de/episode/urn:ard:episode:33485297c22f29ba/
Falls Euch der IQ-Podcast gefällt, freuen wir uns über eine gute
Bewertung, einen freundlichen Kommentar und ein Abo. Und wenn Ihr
unseren Podcast unterstützen wollt, empfehlt uns gerne weiter! IQ
verpasst? Hier könnt ihr die letzten Folgen hören:
https://www.ardaudiothek.de/sendung/iq-wissenschaft-und-forschung/5941402
Weitere Episoden
25 Minuten
vor 23 Stunden
25 Minuten
vor 23 Stunden
9 Minuten
vor 1 Tag
15 Minuten
vor 2 Tagen
14 Minuten
vor 4 Tagen
In Podcasts werben
Abonnenten
Dortmund
Lehrte
Fulda
Erde
Hürth
Jena
belsdorf
Trier
mz
Graz
Piding
Gelsenkirchen
Grethem
düsseldorf
Berlin
Nordhausen
Esslingen
Berlin
Dortmund
Traunstein
Hamburg
frankfurt
Berlin
Kerzenheim
Berlin
München
Westerwald
Krefeld
Dresden
Tübingen
Gütersloh
bonn
Potsdam
Darmstadt
Clausthal-Zellerfeld
Wolfhagen
Darmstadt
Schwanau
Osnabrück
Dortmund
Schortens
Iran
Bayern
Österreich
Spantekow
NRW
Hamburg
Berlin
Köln
Laudenbach
Polling
Wien
Düsseldorf
Fürstenwalde
Duisburg
Lindtorf
Hamburg
Potsdam
Egestorf
Neumarkt
Bad Nauheim
Erde
düsseldorf
Erlenmoos
Freiburg
Chemnitz
Holzmaden
Nürnberg
Hagen
Berlin
Koblenz
Fernwald
Lippstadt
Schaffhausen
Gieboldehausen
Krautheim
St.Egidien
Kommentare (0)